インプラント治療とは?
インプラント治療とは
虫歯や歯周病、ケガなどで失った歯の代わりに
人工の歯根(インプラント)を顎の骨に埋め込み
その上に人工の歯を取り付ける治療法です。
見た目が自然で
しっかり噛める感覚も取り戻せることから
入れ歯やブリッジに代わる選択肢として
注目されています。
咬む力や食べ物をすりつぶす効率(咀嚼効率)は
天然の歯を100とした場合
入れ歯では25~35程度と大きく低下する一方で
インプラントでは90に近い数値を示すという研究結果もあります。
これにより、より自然な食事や会話が可能になります。
また、適切なメンテナンスを行えば
長期間にわたって快適に使用できるのも
大きなメリットです。

とみかわデンタルオフィスのインプラント治療
とみかわデンタルオフィスでは
院長をはじめ、歯周病専門医や日本口腔インプラント学会専修医が
治療を担当しております。
骨の量が少ない方や
歯ぐき(軟組織)に問題のある複雑なケースでも
丁寧なカウンセリングと確かな技術で対応いたします。
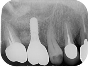
上の2枚のレントゲン写真は
根の病気が原因で保存することが難しく
抜歯した部位にインプラント治療を行なった一例です。
現在もお変わりなく使用していただいております。
「インプラントができるか不安…」
「インプラント治療を以前に断られたことがある…」
という方も、ぜひ一度
とみかわデンタルオフィスにご相談ください。