こんにちは☀️
とみかわデンタルオフィスです🦷
今回はホワイトニングの
症例をご紹介します✨
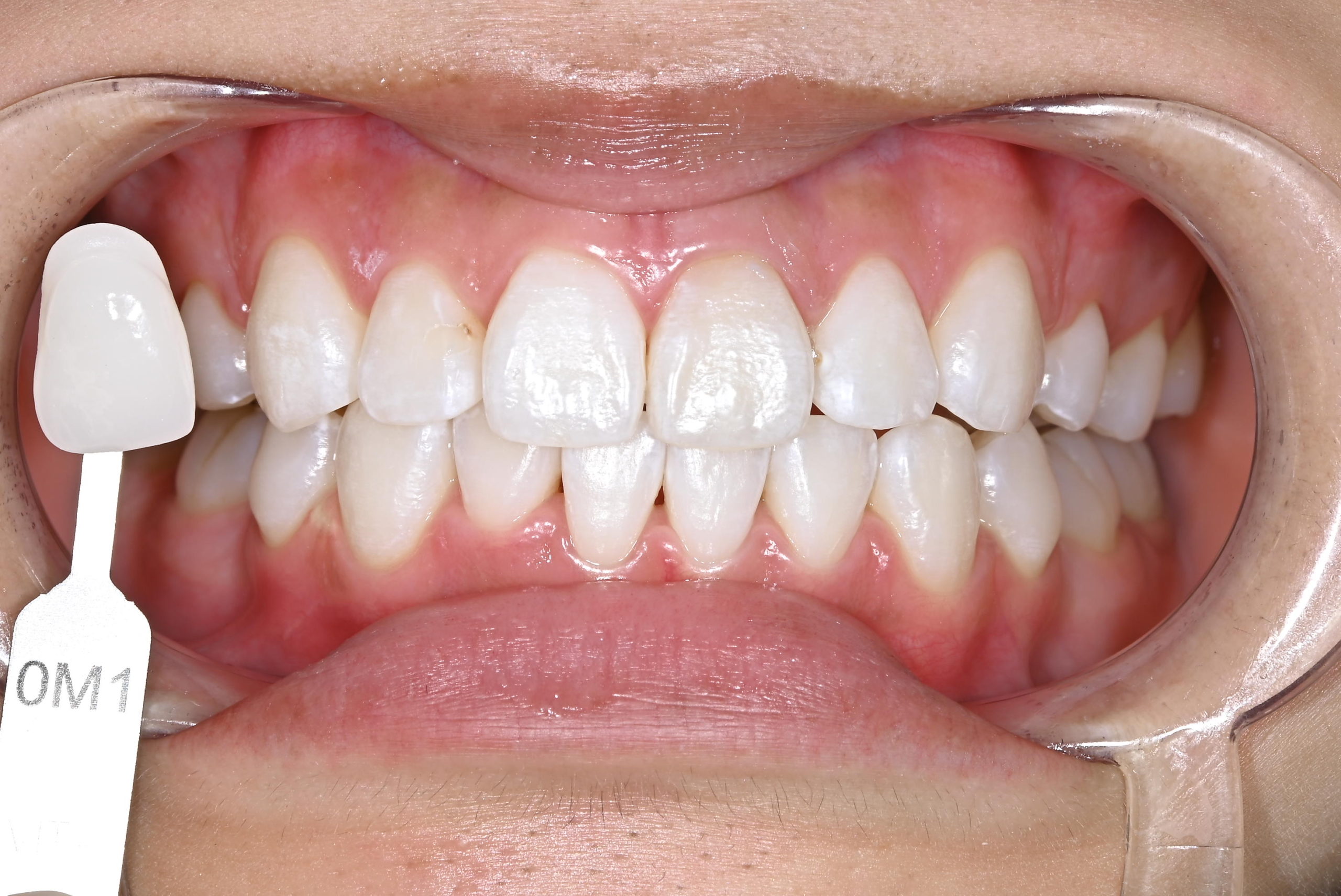
今回は25歳の
女性の方の
症例です👩
ホワイトニングご希望で
来院されました🦷
歯医者で行う
オフィスホワイトニングと
お家で行う
ホームホワイトニングを
併用した
デュアルホワイトニングを
行い、
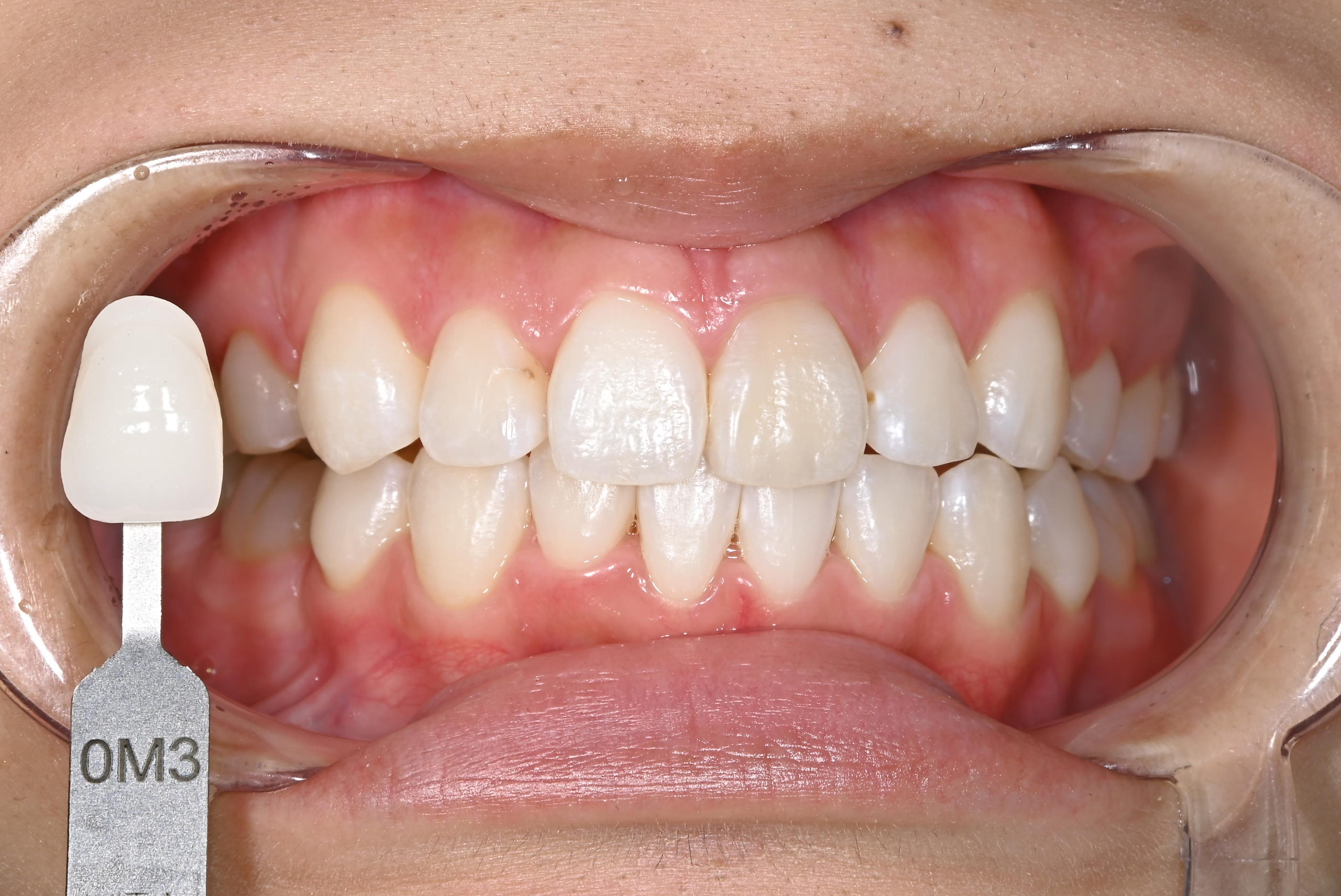
約3ヶ月後には…
ここまでトーンアップし、
全体的に
かなり明るくなりました!!!👏
白さを実感しながら、
色戻りしにくいのが
特徴です😊
自然で
透明感のある
仕上がりになります✨
気になる方は
ぜひスタッフに
お声がけ下さい☺️
※効果には
個人差があります